牙齿矫正
上海牙齿矫正医院,美莱特色牙齿矫正针对不同人群采用不同的矫正方案,同时牙齿矫正价格也的合情合理.计算机模拟牙齿矫正过程,有效定位,矫正方便快捷。
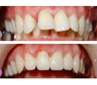
牙齿矫正介绍
有了一口洁白的牙齿,就有自然灿烂的好笑容,可以让人增添自信。隐形矫正就是无托槽矫正技术,没有传统意义上的弓丝和托槽,是用透明分子材料制作而成,隐形矫正虽然好,优点突出,但并非适用于所有人,目前主要实用在轻中度牙齿畸形。
手术方法:
矫正的过程是通过很多副牙套共同完成的。
恢复时间:
佩戴矫正器1-2年,具体视情况而定。
注意事项:
术前:
1、心理调整,牙齿正畸治疗的疗程较长,一般为1-2年,所以患者要有充分的思想准备,避免半途而废。
2、排除口腔其他疾病做临床检查
3、维护口腔健康,每天清洁牙齿
术后:
1、患者戴上矫治器后,会有轻度疼痛、酸胀等不舒服的感觉,对矫治器也不适应,这是正常现象,需要一段时间的适应过程。
2、注意不能吃过硬、过粘的食物,前牙也不能直接啃咬硬的食物,以防损坏矫治器。
3、保持良好的口腔卫生非常重要,必须坚持早晚和饭后认真刷牙。
4、遵从医嘱,定期复查。
◆技术优势
1、好隐形:隐形牙套透明轻薄,佩戴后更紧贴牙齿,矫正期间进行日常运动也不会导致口腔磨损,告别“铁齿铜牙”。
2、美学设计:根据术前面部美观设计及颌骨特质,有效设计矫正角度、力度,矫正后的美观。
3、坚固耐用:高分子透明材料,坚固耐用,不易被磨损,牙套可自由摘取,方便口腔清洁。
美莱优势
“上海美莱”,是由「美莱医疗美容连锁」斥巨资打造的亚洲连锁医疗美容旗舰,美莱是目前亚洲实力雄厚的专业医疗美容连锁,更是诸多明星常去的医美。
“美莱(MYLIKE)”,运用前沿技术,个性化、人性化服务,提供卓越品质医美体验,帮助广大求美者不仅获得外表的惊艳,更拥有勇敢、、自信的内心,蝶变成就自己精彩的人生!
[an error occurred while processing the directive]






