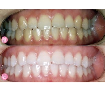
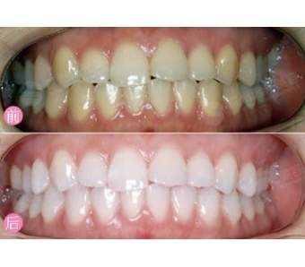
牙齿美白
上海四环素牙齿美白,美莱活力口腔采用美国beyond冷光美白两种前沿的牙齿美白技术,专业快速美白黄牙,黑牙,色素牙,四环素牙,氟斑牙等牙齿问题,让你拥有洁白皓齿,绽放美丽笑容。冷光牙齿美白价格公开透明。
牙齿美白介绍
超声波洁牙(俗称洗牙)指的是利用超声波洁牙机的振动震碎牙石,从而去除牙石的过程。结石去除后的牙齿表面会有粗糙感,然后采用抛光技术进行抛光,把洁治后遗留在牙面的色素及肉眼难以辨认的细小牙石去除,使牙齿表面变得光滑,菌斑和牙石不易再沉积,可以防止牙龈出血或者牙齿松动的情况,帮助治疗牙周炎等口腔疾病。
手术方法:
冷光牙齿美白:采用冷光源照射覆盖在牙面上的漂白剂,使之短时间内渗入牙齿硬组织中来达到改变牙齿颜色的目的,其优点是不损伤牙齿硬组织,操作治疗时间比较短。30分钟便可达到牙齿美白,其可维持2年以上。
超声波洗牙:超音波洗牙主要是针对清除牙齿结石部分,牙结石容易造成牙菌斑的堆积,造成牙龈炎、牙周病。在治疗的同时,齿颈部、邻接面的结石去除掉了,牙齿也会有美白的表现。厚层的染色,借着超音波洗牙,也可以去除大部分。
喷砂洗牙:喷砂是由珍珠盐加上高压水为牙齿做进一步的清洗。喷砂能把附着在牙齿上的茶垢、烟垢及食物软垢清理干净,喷过砂的牙齿非常光洁,且不易再次沉积牙石。
恢复时间:
随做随走,无恢复期。
注意事项:
1.超声波洁牙后一般不影响进食,但由于牙齿结构的原因即牙颈部的牙骨质很薄,有些人洗牙后会出现敏感症状,尤其牙石越重牙周炎症越者,过敏症状越;
2.这种过敏的疼痛是激发性的,持续时间短,刺激去除后疼痛即消失,一般不需采取特殊处理,多在超声波洁牙后2周到1个月可以逐渐消失;
3.超声波洁牙后主要做的就是自我的口腔卫生维护,如采用正确的方法刷牙,使用牙线,牙间刷等,以控制菌斑的形成。
◆技术优势
1.方便快捷,只需三十分钟时间;
2.,做完之后便可见到。
美莱优势
“上海美莱”,是由「美莱医疗美容连锁」斥巨资打造的亚洲连锁医疗美容旗舰,美莱是目前亚洲实力雄厚的专业医疗美容连锁,更是诸多明星常去的医美。
“美莱(MYLIKE)”,运用前沿技术,个性化、人性化服务,提供卓越品质医美体验,帮助广大求美者不仅获得外表的惊艳,更拥有勇敢、、自信的内心,蝶变成就自己精彩的人生!

-
上海的牙齿美白方法是什么
牙齿美白,美白方法,美白。冷光美白,是一种快速而又安全的牙齿美白技术。低温冷... [详细]

-
上海牙齿冷光美白多少钱快速
牙齿美白,冷光美白,美白价格。牙齿冷光美白多少钱快速? 你是否会羡慕非洲人牙齿... [详细]

-
上海冷光美白牙齿好不好
人家咧嘴笑起来露出 整齐洁白 的牙齿 笑眼弯弯清爽甜美 难怪说 爱笑的女孩运气都... [详细]

-
什么方法可以快速有效的美白牙齿
从古至今,人们对美的追求都没有什么变美 明眸皓齿,一定要有一个好看的牙齿做... [详细]

-
我的牙齿很黄,怎么才能变白啊
作为一个爱美的人 不仅仅要求自己的五官足够精致,身材足够苗条 而且还希望自己... [详细]

-
牙齿天生就很黄,怎么才能变白
大部分人的牙齿都是有点黄黄的 上海美莱周茹医生介绍这是正常情况 牙齿本身的颜... [详细]
[an error occurred while processing the directive]



